Informace Na Stránce Nepředstavují Lékařskou Radu. Nic Neprodáváme. Přesnost Překladu Není Zaručena. Zřeknutí Se Odpovědnosti



Ústní zdraví: Co říká špatný dech o vašem zdraví

Chrápání

Snoring is just one of many bad breath causes.

Co způsobuje špatný dech? Existuje mnoho příčin, ale pokud chrápáte, můžete se z krku špatně dech. Je to proto, že chrápání způsobí, že vaše ústa a krk vyschne. Nedostatek produkce slin, ke kterému dochází, když chrápáte, umožňuje růst bakterií, což vám dává špatný dech. Zadní pražce s větší pravděpodobností chrápají.

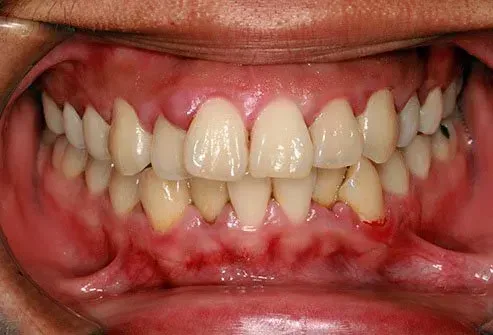
Onemocnění dásní

Onemocnění dásní je jednou z běžných příčin chronického špatného dechu. Obvykle to vede ke špatnému dechu, který má kovový zápach. Příčinou onemocnění dásní jsou bakterie, které rostou pod linií dásní. To způsobuje infekci a zánět nebo periodontitidu. Lidé, kteří kouří nebo pravidelně nekředí a kartáčují, mají větší pravděpodobnost onemocnění dásní. Může to být také genetické a běží v rodinách.



Kyselý reflux

Kyselý reflux je stav, kdy žaludeční kyselina pracuje zpět na jícnu ze žaludku. Může vám dát špatný dech, který má kyselý zápach. Do úst můžete refluxovat tekutinu nebo jídlo. Kyselina může poškodit ústa a krk a způsobit větší zápach.



Diabetes

Diabetes may result in bad breath when the body creates ketones to use for fuel instead of glucose (sugar). If you have diabetes and bad breath reach out to your doctor because you may be low on insulin.

H. Pylori

H. Pylori je typ bakterií, který zvyšuje riziko vředů a rakoviny žaludku. Může to také vést ke špatnému dechu pálení pálení proti pálení proti pálení proti pálení proti špatnému dechu gastrointestinální bolesti a trávení. Jedním ze způsobů, jak se zbavit špatného dechu, je léčit tuto infekci, pokud ji máte. Váš lékař vás může vyzkoušet na H. pylori a může vám poskytnout antibiotika, pokud je potřebujete.



Respirační infekce

Bronchitis sinus infekce nachlazení a kašel je několik typů respiračních infekcí, které mohou přispět ke špatnému dechu. K tomu dochází proto, že tyto podmínky mají za následek hlen naplněný bakteriemi v nose a ústech, který má špatný zápach. Špatný dech se vyřeší, když to podmínka dělá.

Léky

Lékys that cause dry mouth result in a decrease in saliva which allows smelly bacteria to grow. Heart medications containing nitrates may cause bad breath. So can certain sleep meds and chemotherapy. Excess consumption of vitamins may cause bad breath too.

Mandské kameny

Mandly jsou součástí lymfatického systému a jsou umístěny v zadní části krku. Pokud jsou vaše mandle postaveny a mají krypty, možná budete s větší pravděpodobností vyvinout mandlí kameny, když se kousky jídla chytí ve štěrbinách a vápníku se shromažďují kolem oblastí. Bakterie rostou na mandlích kamenných, což vede ke špatnému dechu. Někteří lidé jsou schopni uvolnit mandlí kameny pomocí zubního kartáčku nebo bavlněného tamponu. Denně kartáčujte a nit a otřete jazyk, abyste odradili odrazení za tvorbu kamenů mandlí. A po jídle dobře klokchejte slanou vodou. Pokud vyvíjíte časté mandlí kameny, zkontrolujte u svého lékaře. Někteří lidé mohou být doporučeni, aby jejich mandle odstranily.

pilulky s 5 325 na nich

Dehydratace

Zajímá vás, jak opravit špatný dech? Pijte více vody. Dehydratace vede ke snížení produkce slin, která umožňuje růst bakterií. Je také možné vyvinout sucho v ústech v důsledku určitých podmínek, včetně Sjögrenova syndromu a sklerodermie. Tyto podmínky ovlivňují slinné žlázy a mohou vést k suchovým ústům a špatnému dechu.

Infekce

Orální poranění mohou vést ke špatnému dechu, pokud se nakazí bakteriemi. Zranění může být způsobeno nehodou nebo výsledkem ústní operace na vašich dásních nebo v ústech. Pokud dostanete zub vytáhnut, zbývající zásuvka se může nakazovat. Po podávání zubních postupů vždy sledujte pokyny svého zubaře nebo ústního chirurga. Okamžitě nahláste své problémy svému odborníkovi pro zdraví. Pokud vyvinete infekci, může lékař poskytnout antibiotika k léčbě infekce. Oplachování slanou vodou může pomoci udržet vaše ústa čistá a zabránit proliferaci bakterií.

Selhání jater

Selhání jater může produkovat specifický druh špatného dechu zvaného „fetor hepaticus“. Může to cítit plesnivé a sladké. Tento druh zápachu má za následek závažné onemocnění jater. Mohou se objevit další příznaky, jako jsou nažloutlé žloutenky. Žloutenka se stane, když se bilirubin hromadí v krevním řečišti.

Selhání ledvin

Selhání ledvin může být spojeno s „rybím“ vonícím dechem kvůli snížené schopnosti ledvin odfiltrovat toxiny. Špatný dech se nejčastěji vyskytuje v pozdních stádiích selhání ledvin nebo onemocnění ledvin v konečném stádiu (ESRD). Léčba selhání ledvin je dialýza pro filtrování krve nebo transplantace ledvin.

Ústní zdraví: Co říká špatný dech o vašem zdraví

Zdroje:

Obrázky poskytnuté:

  1. Thinkstock
  2. Thinkstock
  3. Thinkstock
  4. Getty
  5. Getty
  6. Getty
  7. Thinkstock
  8. Getty
  9. Getty
  10. Getty
  11. Getty
  12. Thinkstock

Reference:

  • Sleep.org: Jak se zbavit špatného dechu v moringu.
  • University of Michigan Medicine: špatný nebo změněný dech.
  • Harvardská lékařská škola: Bad Dech: Co to způsobuje a co s tím dělat.
  • Journal of Dentistry: Vztah halitózy s infekcí žaludeční helikobacter pylori.
  • Harvardská lékařská škola: Bad Dech: Co to způsobuje a co s tím dělat.
  • BMJ: Oral Malodour (halitóza).
  • Cleveland Clinic: Mandské kameny mohou způsobit váš špatný dech.
  • University of Michigan Medicine: špatný nebo změněný dech.
  • Mayo Clinic: Bad Dech.
  • University of Michigan Medicine: špatný nebo změněný dech.
  • Cleveland Clinic: Bad Dech (Halitosis).
  • Americká akademie astmatu alergie
  • Americká vysoká škola kardiologie: „Špatný nebo změněný dech.“
  • Kanadská společnost střevního výzkumu: „H. pylori a halitóza. “ Cleveland Clinic: „Jsou to nepříjemné mandlí kameny, které způsobují váš špatný dech?“
  • Mayo Clinic: „Je kyselý reflux stejný jako GERD?“ „Diabetická ketoacidóza“ „Úterý Q a A: Kroky péče o sebe mohou pomoci zabránit návratu mandlí kamenů“ „špatný dech: symptomy a příčiny“.
  • Lékařská zpráva dnes: „Bad Dech (Halitosis): způsobuje diagnózu a léčbu.“
  • Národní ústavy zdraví: „Intolerance laktózy“ perorální a slinné změny u pacientů s ledvinami podstupující hemodialýzu: průřezová studie '' '' '' '' '' '' '' '' '' '' '' '' '' '' '' '' '' '' '' '' '' '' '' '' '' '' ' Ústní projevy HIV.
  • Národní nadace Sleep Foundation: „Nadechněte se čerstvého vzduchu-aniž by poslal běh svého spolubydlícího-s těmito špičkovými tipy.“

Tento nástroj neposkytuje lékařské poradenství. Viz další informace:

Tento nástroj neposkytuje lékařské poradenství. Je určen pouze pro obecné informační účely a neřeší jednotlivé okolnosti. Nejedná se o nahrazení diagnostiky nebo léčby profesionální lékařské poradenství a nemělo by se na něj spoléhat při rozhodování o vašem zdraví. Nikdy neignorujte profesionální lékařskou radu při hledání léčby kvůli něčemu, co jste si přečetli na webu RXLIST. Pokud si myslíte, že můžete mít lékařskou pohotovost, okamžitě zavolejte svého lékaře nebo vytočte 911.

© 1996-2025 WebMD LLC . Všechna práva vyhrazena.